La peculiaridad del cromosoma 21
DIEGO PABLO LANCHARESMEDICINA Y SALUD2026, NÚMERO 1
Estudiante de Genética en la Universidad CEU San Pablo
3/25/20265 min leer


Muy amplio es el debate acerca de la calidad de vida que tienen las personas con diversas patologías genéticas. Desde aquellas que solo muestran un pequeño defecto congénito, hasta otros casos en los que la afección es más severa, cabría preguntarse ¿Existen «vidas menos dignas de ser vividas»? [1] La puesta en duda de la dignidad personal ha sido el objeto de grandes escándalos en la humanidad, seguidos de sendos debates humanitarios sobre los derechos y los deberes, con especial atención a los más vulnerables. En esta discusión cabe resalar la figura de Jérôme Lejeune (1926-1994), padre de la genética moderna, quien afirma: la calidad de una civilización se mide por el respeto que tiene por los más débiles de sus miembros [2].
Hoy 25 de marzo, es el Día Internacional por la Vida y dentro del IX concurso universitario del Institutito CEU de la Familia, conviene revindicar la figura del doctor, profesor e investigador Lejeune. Graduado en Medicina por la Universidad de París, termina por especializarse en pediatría. En contacto con sus «pequeños», como gusta de llamar a los niños discapacitados, donde acaba por recibir su vocación. Una serendipia científica va a terminar por descubrir su vocación a la genética. Es un tiempo donde se estaban estableciendo los rudimentos más básicos con la fijación, la fotografía y ordenación de los cromosomas. Corre la década de 1950 y un joven Lejeune recorta con tijeras y los pega de mayor a menor tamaño, por ende, cantidad de material genético [3].
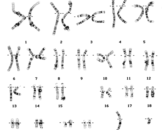
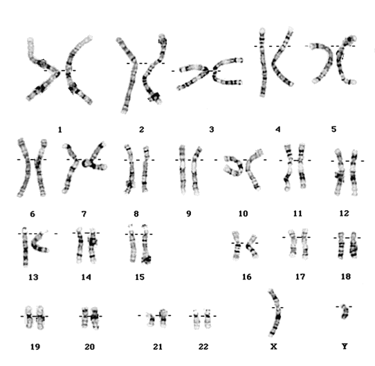
Gracias al desarrollo de la cito-genética, Lejeune descubre la trisomía del par 21, un cromosoma extranumerario que arroja un total de 47, causante del síndrome de Down.
Los fines clásicos de la Medicina conducen a Lejeune a una carrera frenética por conseguir una cura para sus enfermos y por prudencia, ante todo no hacer daño. Por tanto, la simple imagen en papel salta a un alcance total en un tiempo que cuestiona: ¿Qué repercusiones tiene dicha alteración a biológico? ¿Se deben tener hijos con cromosomas anormales? ¿Había llego el momento de replantearse la normativa vigente?
El mundo abría los ojos y a los portadores de esta mutación pasaba de denominarlos «mongólicos», dada la facies característica descrita por el doctor Down, a «trisómicos». Lejeune esclarece la categoría de aneuploidía, que consiste en la duplicación o eliminación de cromosomas enteros. Otros ejemplos son el síndrome de Turner –mujeres con un solo cromosoma X– o el de Klinefelter –varones con un cromosoma X de más–. En concreto el síndrome de Down se origina durante la gametogénesis, proceso mediante el cual se originan los óvulos y espermatozoides, células altamente especializadas. Los gametos pueden sufrir una mala disyunción del par 21 durante el proceso meiótico, acarreando una copia extra. Otras posibles causas son una translocación Robertsoniana –un cromosoma 21 se fusiona con otro acrocéntrico, habitualmente un 14– o la creación de un isocromosoma –cromosoma 21 que carece de un brazo y, por ende, el otro se ha duplicado– [4].
Sea cual sea el camino, todos ellos desembocan en el mismo río: sobreabundante información genética del par 21. Ahora bien, una alteración de ese calibre es compatible con la vida gracias a que dicho cromosoma es «pobre» en cuanto a la relación gen por x bases –poca densidad génica, contando con un gen cada 200 kb, es decir, un gen cada 200.000 pares de bases–. Partiendo del origen de esa condición es conveniente preguntarse: ¿qué comorbilidades conlleva para el que la porte? De acuerdo Pal & Daley, 2026, cabrían destacar las siguientes patologías:
1. Defectos cardiacos congénitos: una de las causas de muerte más común, especialmente en los dos primeros años. En adelante, asociado a más del 50%.
2. Anomalías del tracto gastrointestinal: desde la boca hasta el ano, sobresalen las deformaciones del duodeno, la estenosis, el páncreas anular, el ano no imperforado y el desorden de Hirschsprung.
3. Desórdenes hematológicos: de entre las displasias de la sangre, destacan la trombocitopenia o policitemia, junto con las leucemias.
4. Desórdenes neurológicos: se relaciona con una disminución del volumen cerebral, poniendo especial énfasis en el hipocampo –centrado en generar recuerdos– y cerebelo –se encarga del equilibrio–. El riesgo de Alzheimer se dispara al 50-70%, además de la propia demencia.
Junto con otros desórdenes fisiopatológicos, dentro del espectro del signos y síntomas que conforman el síndrome de Down, todo apunta a causas vinculadas a la sobreexpresión de los genes DYRK1A, SIM2 o SYNJ1 presentes el cromosoma 21.
Una vez descrita la realidad biológica, en la dimensión ética hoy en día se opta por la terminación del embarazo tras un diagnóstico de síndrome de Down. En Europa, en el año 2023, la BBC aseguraba que el 54% de los embarazos en los que el feto tenía Down fue interrumpido [5]. Ese dato revela un tipo de sociedad, ¿A caso una extrapolación de la película GATTACA (Andrew Niccol, 1998)? Para Carl Gustav Jung el ser humano perfecto no deja de ser un arquetipo colectivo [6]. La consecución de este pasa a ser la obsesión de Herbet Spencer fraguada como Darwinismo social [7,8].
La aplicación de la ley del más fuerte al conjunto humano depara en postulados como ayudar demasiado a los pobres o enfermos interfiere con la selección natural, la desigualdad es algo natural (incluso hasta útil) y las sociedades avanzan cuando los más fuertes prosperan y los débiles desaparecen [9].
Finalmente, recuerdo que Morgan Freeman dijo en su papel de abogado en la película de Ted 2 (Seth MacFarlane, 2015): el ser humano no es aquel ser que ha de ser perfecto por necesidad, sino más bien, aquel ser que es capaz de sentir: capaz de emocionarse cada vez que ve a un ser querido después de mucho tiempo, capaz de llorar en cada entierro al que asiste, o capaz de regalarte un abrazo. Desde el albor de los tiempos, las personas somos profundamente sociales. Si la capacidad de amar ha llegado hasta nuestros días, será por algo.
La identidad personal no se puede limitar a la de una máquina biológica con dos pies y dos manos, porque quien tiene boca se equivoca, véanse los genes Hox. La realidad del amor supera el mero biologicismo reduccionista, en especial, cuando se manifiesta la imperfección humana. La lucha por los derechos de todas las personas supone prestar ayuda al más débil y rebatir los argumentos del más fuerte. Superemos cualquier totalitarismo, somos humanos porque somos amados.
Bibliografía
1. de Bioética UCV, O. (2025, junio 9). Las ‘vidas indignas’: la herencia silenciosa de una ideología que elige quién vive y quién muere. Observatorio de Bioética, UCV. https://www.observatoriobioetica.org/2025/06/las-vidas-indignas-la-herencia-silenciosa-de-una-ideologia-que-elige-quien-vive-y-quien-muere/10004319
2. Fundación Jérôme Lejeune. (2022, julio 8). El Dr. Jérôme Lejeune https://fundacionlejeune.es/jerome-lejeune/
3. Esparza, J. J. (2019). Jérôme Lejeune: luchar, amar, curar. el hombre que perdió el nobel por no renunciar a sus convicciones. Editorial Libros Libres.
4. Pal, A., & Daley, S. F. (2026). Down Syndrome. En StatPearls. StatPearls Publishing.
5. BBC (2023, marzo 21) La drástica caída de nacimientos de bebés con síndrome de Down en Europa (y el debate que genera). https://www.bbc.com/mundo/noticias-64981751
6. Hernández Díaz, M. (2020). El inconsciente en Jung. Trasantier.
7. Klug, W. S., Cummings, M. R., Spencer, C. A., y Palladino, M. A. (2013). Conceptos de genética (10.ª ed.). Pearson Educación.
8. Bassham, G. (2021). El libro de la filosofía: De Pitágoras a los pensadores modernos. Librero.
9. Spencer, H. (1851). Social statics: Or, the conditions essential to human happiness specified, and the first of them developed. John Chapman.
10. Buckley, S. (2000). Living with Down syndrome. Down Syndrome Educational Trust. https://www.researchgate.net/publication/242325700
Agradecimientos
Este artículo fue realizado por Diego Pablo Lanchares Cantero bajo la supervisión de Marcos García García y Álvaro Lázaro Valero
